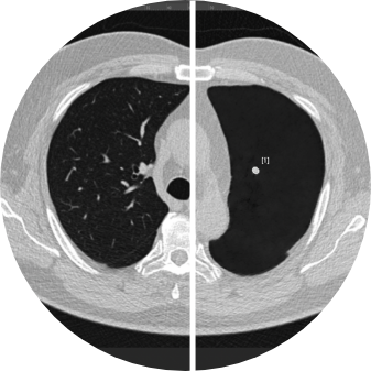
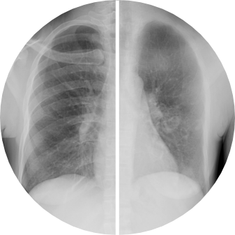
Lung cancer and coronary disease are worldwide leading killers and early detection is key to improving outcomes. CAC affects 20 million Americans annually, yet over half of incidental findings go unreported.12,13 Lung cancer is the leading cause of cancer death and nodule search is burdensome, and vessels can obscure findings, delaying diagnosis. Findings are time-consuming to compare over time, segment, and quantify. In addition, exploding imaging volume and radiologist shortages and burnout are at a breaking point.
ClearRead CT with Clear Visual Intelligence provides an unimpaired view of the chest for efficient and accurate detection of cardiothoracic diseases. The full suite of tools detects, segments, and measures nodules, compares findings with prior exams, quantifies CAC, and automatically integrates with the radiology report. ClearRead CT is a natural addition for opportunistic CAC and nodule detection or as part of a lung cancer screening program. Detect 29% more nodules and read 36% faster.2,14










