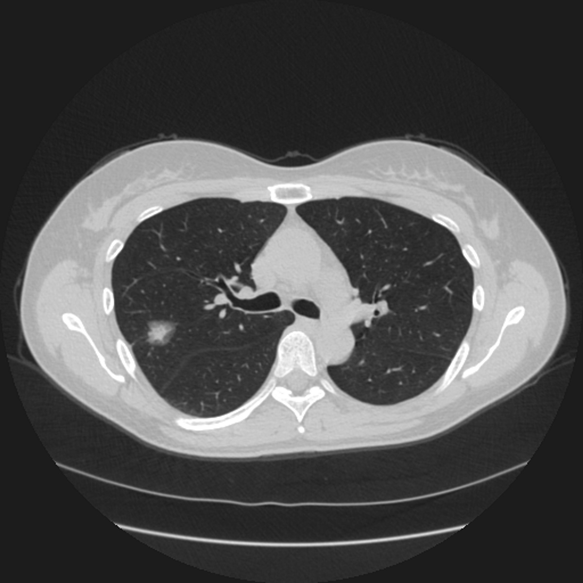
Now, radiologists can achieve newfound Certainty of Search using the ClearRead CT technology, the only Clear Visual Intelligence solution with our unique suppression technology. It removes the vessels and machine noise on the chest CT image, providing an unimpaired view of the chest for efficient and accurate detection of cardiothoracic diseases. ClearRead CT is a natural addition for opportunistic CAC and nodule detection or as part of a lung cancer screening program.






















