Lung cancer, emphysema, and heart disease are leading killers worldwide. Detection of these conditions is complex and time-consuming. The ClearRead™ CT cardiothoracic AI suite leverages advanced artificial intelligence for increased efficiency, improved nodule detection accuracy, and quantification of coronary artery calcification (CAC) and hypodense lung tissue*.
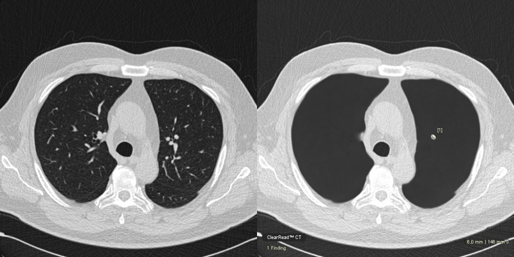
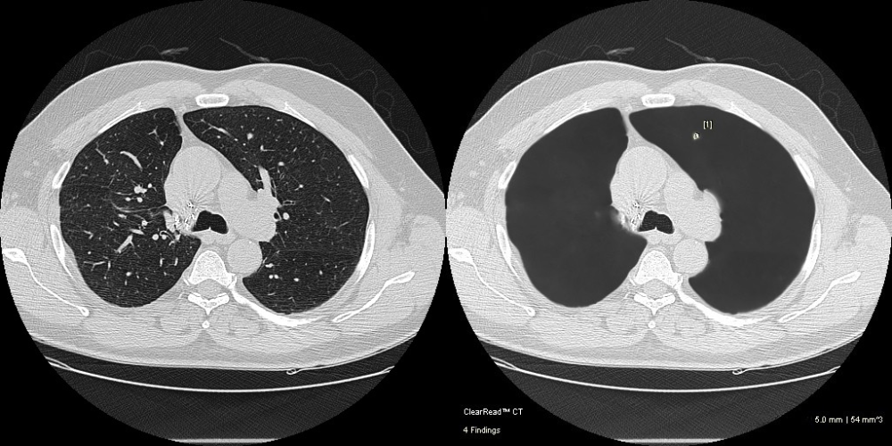
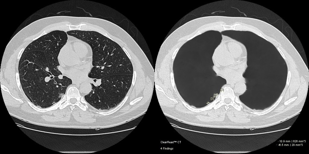
Vessel Suppression An unimpaired view for enhanced confidence in findings
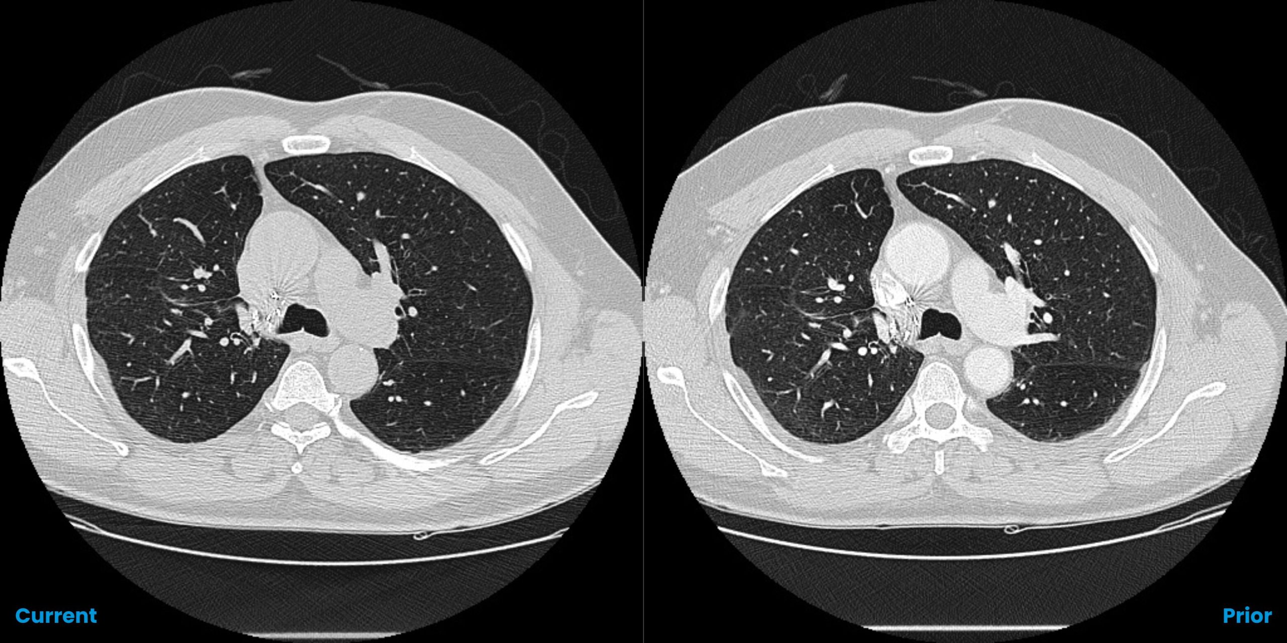
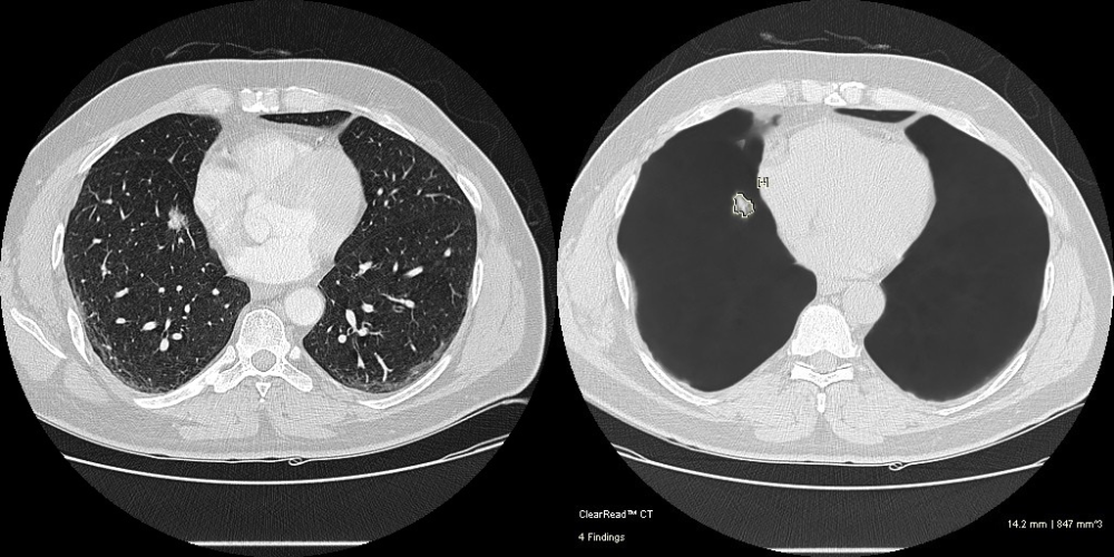
Pulmonary Nodules Automated nodule analysis, current and prior, and reporting to lighten cognitive load
CAC Automated CAC scoring for incidental detection on ungated CTs
LTA Quantification of hypodense lung tissue for a comprehensive lung health program*
ClearRead CT Cardiothoracic AI Suite
As imaging volume continues to grow along with the demand for faster turnaround times and earlier diagnoses, workflow-friendly tools that improve efficiency and accuracy are essential. ClearRead CT is a valuable tool in lung cancer screening programs and for incidental coronary artery calcification scoring.
- Fully-automatic nodule detection and analysis
- Quickly & easily compare nodule findings with prior exams – monitor changes in volume, diameter, and doubling time
- Exclusive vessel suppression capability provides an unimpaired view of the chest and is approved for concurrent reading
- 36% faster reads1 and 29% fewer missed nodules2
- Incidental CAC quantification with Agatston score on ungated, non-contrast CTs. Learn more about new CAC reimbursement code G0680.
- Structured reporting & HL-7 integration
- Universal integration with patient data management programs
- Enterprise-wide deployment on any acquisition device and any PACS
- Available direct and on all major AI platforms & PACS marketplaces
A Population Health Approach to Lung and Cardiac Health
Our ClearReadTM Chest imaging interpretation solutions are built upon advanced AI algorithms that target the biggest health threats globally. A full suite of ClearRead Chest solutions are purpose-built to detect disease earlier, more efficiently, and provide improved patient outcomes. These AI tools target the most prevalent global chest conditions including lung cancer and cardiovascular disease.
THE EXPERT SPEAKS
“ClearRead CT technology has helped us to detect lung nodules that may have otherwise been missed.”
Jared Christensen, MD, MBA
Duke University Medical Center
CLINICAL EVIDENCE
Peer reviews, reference accounts and independent studies confirm our success.
CASE STUDIES
Our effectiveness is validated by real-world success stories from our medical partners.
Videos
Browse a variety of videos for greater insight into our technology and its applications.























