Book a Demo
Clinical Conditions

Saving Lives with Certainty of Search™

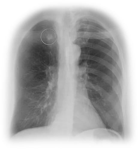
Lung cancer, cardiac disease and emphysema are leading global killers. Earlier detection and treatments of these conditions improves patient outcomes. However, detection is complex and time-consuming. The ClearRead TM cardiothoracic AI suite is purpose-built to improve accuracy and efficiency on chest CTs and X-rays, covering all the bases for a population health approach to the early detection of cardiothoracic conditions.

Clinical environment showing a radiologist in teal scrubs preparing a patient for a chest CT scan, representing the real-world clinical workflow supported by Riverain Technologies' AI imaging solutions.

A Population Health Approach to Lung and Cardiac Health

Our ClearRead Chest imaging interpretation solutions are built upon advanced AI algorithms that target the biggest health threats globally. We accurately and efficiently improve outcomes for improved patient care with tools that target pulmonary nodules, coronary artery calcification (CAC), and pneumothoraces. Learn more about the ClearRead solutions built for lung and cardiac conditions.

Lung Health

Learn about the most common lung health conditions.

Cardiac Health

Learn about the most common cardiac health conditions.

The ClearRead Chest cardiothoracic AI suite targets the leading chest conditions with accuracy while improving efficiency. Learn more about the power of ClearRead CT and ClearRead Xray.

Clinical expert photographed outside a healthcare facility, representing the medical professionals who rely on Riverain Technologies ClearRead solutions.

The Expert Speaks

“Using ClearRead CT couldn’t be easier. Image processing is configured in the background so that our normal workflow isn’t interrupted. ClearRead CT is a cost-effective tool that can be deployed network wide, regardless of CT manufacturer, allowing consistent care for all of our patients.”

Charles White, MD

Professor of Radiology & Vice President of Clinical Affairs

University of Maryland Medical Center

Contact us

Thank you for your interest in Riverain Technologies. Whether you’d like to arrange a demo, create a service request, or simply share a question or concern with our team, please contact us. We’re ready to help.